Cosmetic Dentistry

At Barranca Canyon Dentistry, we provide a comprehensive level of care ranging from cosmetic, family, implant and preventative dentistry.

We strive to give our patients the best modern dental medicine has to offer. All of our doctors and staff truly love what they do and we take time out of our schedule to seek continuing education courses and participate in dental study clubs to provide the most current level of care.

We take our profession seriously and strive to provide the best for our patients. We feel every patient deserves the best from us because, from the moment they walk in our door, they put their trust in our hands. 

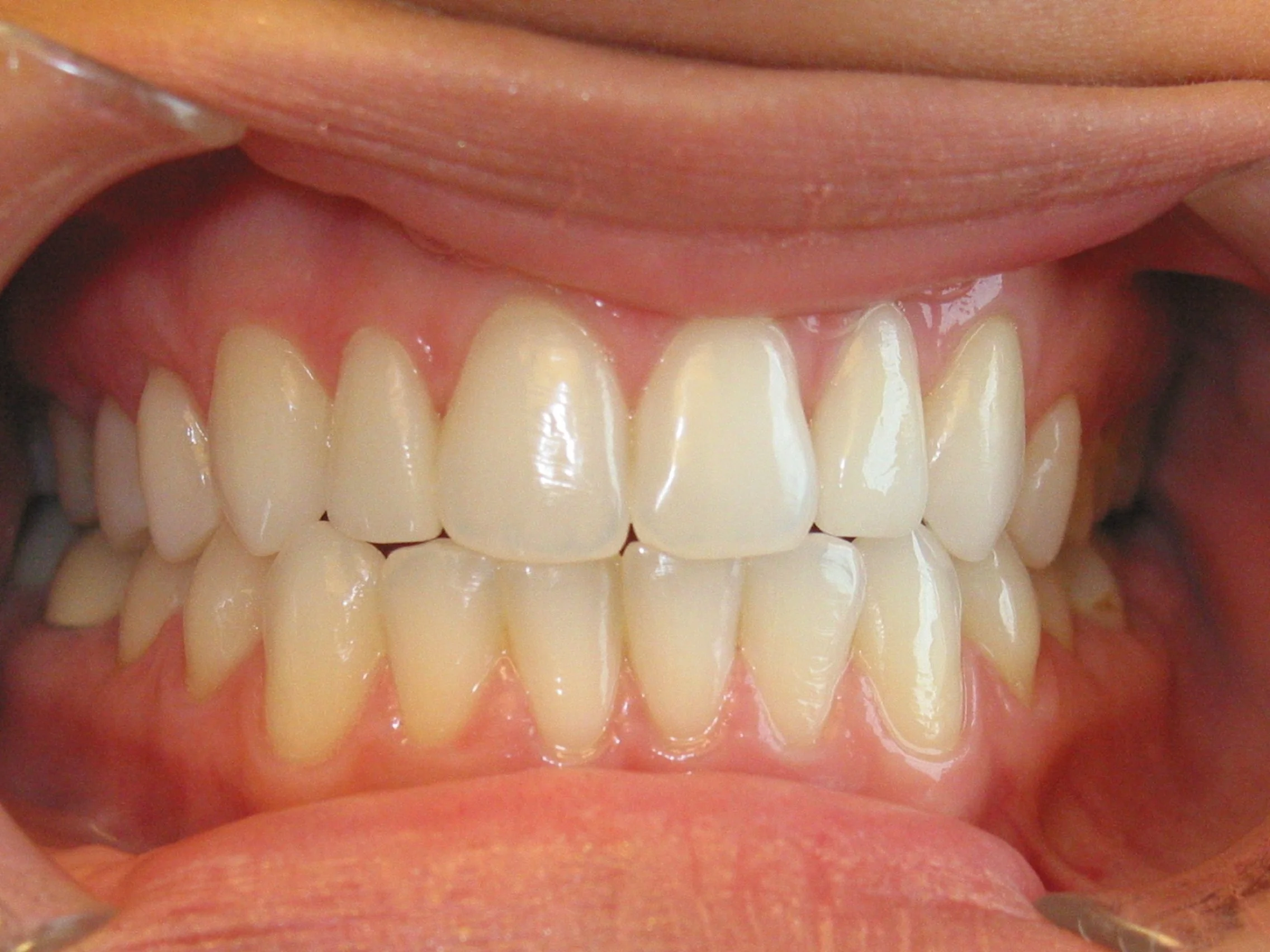
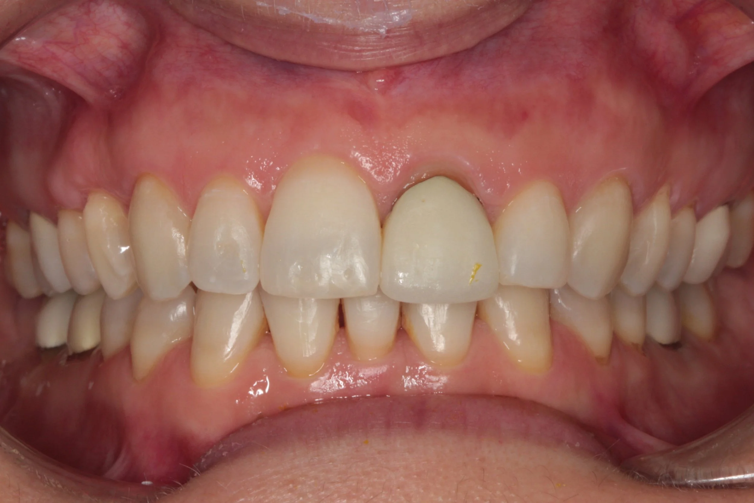
Porcelain Veneer Laminates

Even a subtle change in your smile can make a dramatic difference in the way you look and feel and on your social outlook! Dental veneers are an excellent cosmetic remedy for a variety of dental conditions that affect the appearance of the front teeth: broken or fractured teeth, gaps and spaces between teeth, crooked and misshapen teeth, unsightly old washed-out fillings, and yellow, discolored, or permanently stained teeth. Durable and color stable veneers can be the perfect way to restore the natural function and beauty of your teeth. Smile with confidence!

Porcelain veneers are thin, semi-translucent porcelain “outer-shells” that are permanently bonded to your natural teeth. The finished result is extremely strong, durable and stain resistant. Porcelain veneers can last for years with regular dental exams and cleanings. Our patients are directly involved in the design process when improving their smile with veneers thus ensuring total satisfaction with the end result. If you would like more information about veneers, please contact our office for an appointment with Dr. Shahriyarpour.

Before

After

Tooth Color Fillings

To repair a decayed tooth or to replace an old filling, white composite materials can be bonded to the tooth surface in place of metal or “mercury” fillings.  Although our patients prefer them because of their aesthetic qualities, white fillings offer other advantages too.

White fillings can prevent decay-causing bacteria from getting to the inner part of a tooth, as well as preventing tooth fractures due to the expansion and contraction characteristics of metal fillings.

In addition, because they contain no metals, there is no chance of allergic reactions for patients with metal allergies.  Also, the lack of metal allows for x-rays to show all parts of the tooth, allowing recurrent decay to be diagnosed and treated before it becomes extensive.

Before

After

Whitening With Custom Trays

Our highly-effective tooth whitening procedure will whiten most types of stain. Due to a variety of reasons, teeth tend to stain and yellow over time.

We can help you whiten and brighten dull or yellowed teeth. We examine your teeth and together we identify your specific needs to achieve the smile you always wanted.  Smile!

Before

After

Esthetic Recontouring

Oftentimes patients come in with concerns about the esthetics of their smile. This may include worn, chipped or misaligned teeth.  They are also concerned about the extent of treatment necessary to help them achieve their ideal smile.  

Our doctors take great pride in evaluating not only the dental issue but more importantly the patient’s desire for their smile. This approach can often help us come up with solutions that may be less invasive and much more conservative than what the patient was expecting.  

These few slides show before and after smiles treated with minimal enamel re-contouring and some composite “white” bondings.  Many times this can be performed with no need for anesthetic.

Before

After