Implant Therapies

When permanent teeth are lost, regardless of the reason or a number of teeth, dental implants can offer a β€œnew lease on life.” They are superior to other choices because they are solid, secure, and esthetic. After nearly 35 years in use, they have over a 95% proven success rate in appropriately chosen cases.

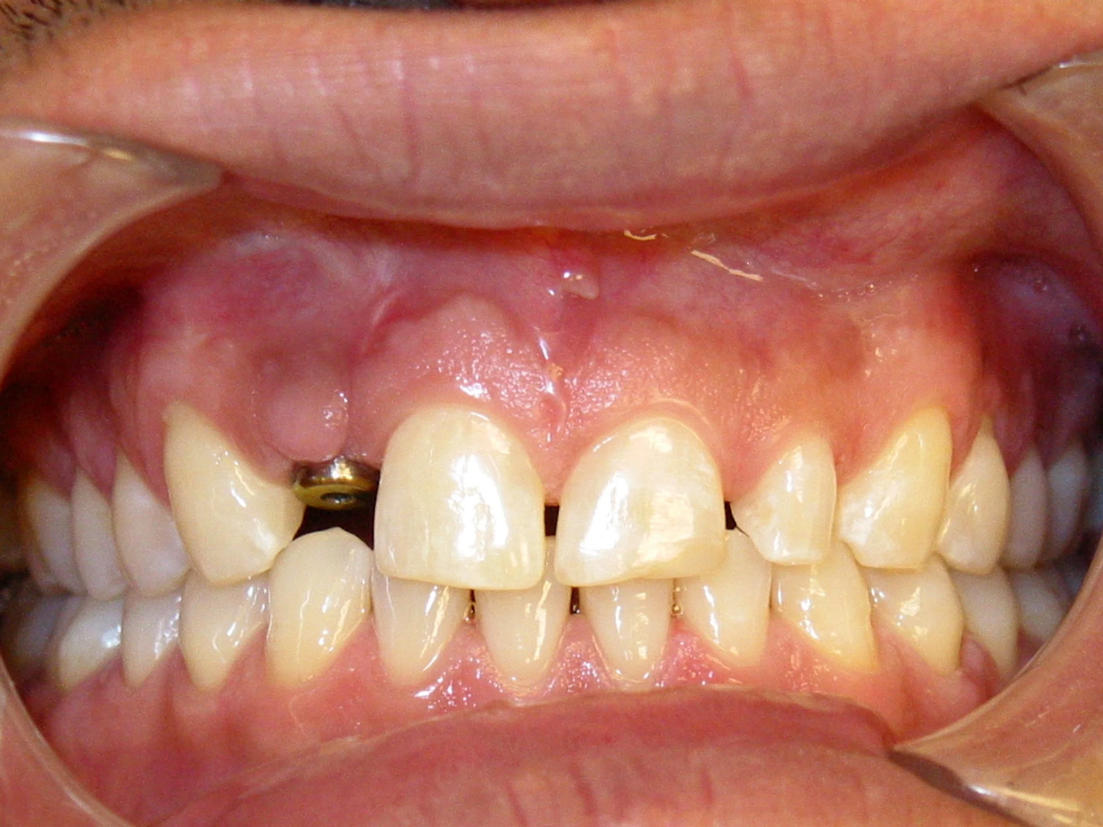
An implant is a special surgical grade titanium post, manufactured to highly precise specifications under strictly sterile conditions, that is inserted surgically into the jawbone below the gum surface. With proper use of the newest anesthetics and medications, you need not be concerned about pain.

As the bone bonds to the post, it forms a secure foundation onto which your new teeth are then attached and shaped to match your mouth. The number of teeth being replaced will determine the best kind of restoration for you. Implants can help replace a single tooth or a full set of teeth. If you have been suffering from partial or full dentures, or are missing teeth, or feel you need teeth extracted, do not hesitate to call to be evaluated for implants.

Before

After